At Hunsbury Dental Care, we offer high-quality composite bonding, which is a minimally invasive and gentle cosmetic treatment designed to transform your smile.
Dr Kishan Chavda, who has completed multiple advanced courses in cosmetic and restorative dentistry, creates natural and long-lasting results.
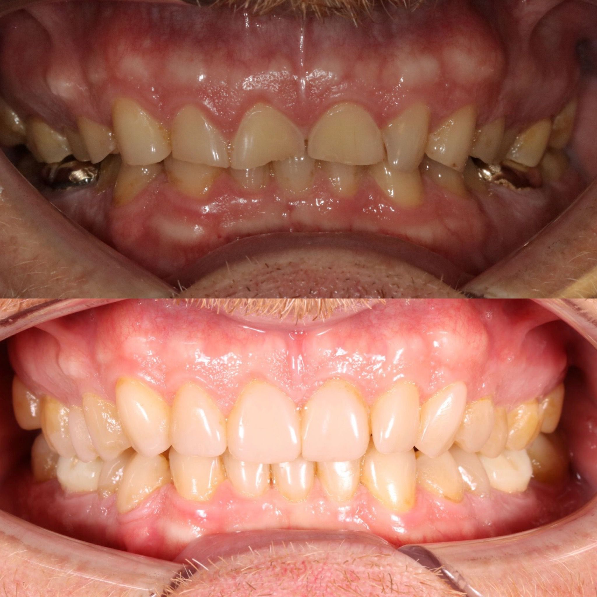
What Is Composite Bonding?
Composite bonding uses a tooth-coloured resin material that is artistically sculpted onto your teeth to improve their shape, size, and appearance. The material is then hardened with a special light and polished to blend seamlessly with your natural enamel. This requires very little – to no tooth preparation, it is one of the gentlest cosmetic treatments available.
Why Choose Composite Bonding?
- Minimally invasive and pain-free
- Instant results
- Ideal for chips, gaps, uneven edges, worn teeth or discolouration
- Colour-matched to blend seamlessly with your natural teeth
How Long Does It Last?
With good oral hygiene and routine dental care, composite bonding typically lasts 3–7 years. We will give you personalised aftercare advice to help keep your results looking their best.
